Galleria prima/dopo
Trasformiamo i vostri problemi ai denti in splendidi sorrisi

Analizzando cosa vi serve e, tenendo conto dei desideri e delle possibilità economiche di ciascun paziente, creiamo ogni giorno nuovi splendidi sorrisi, pieni di salute. Il volto soddisfatto e felice dei nostri pazienti è la nostra migliore raccomandazione.
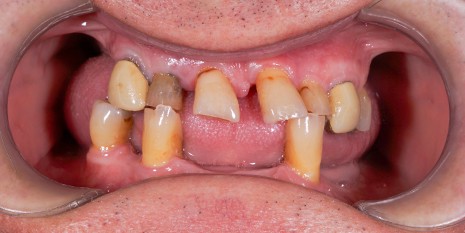
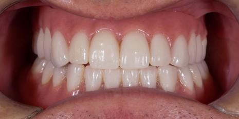
Corone dentali in metallo-ceramica
Tempo di produzione: 4 – 5 giorni
Per saperne di più sulle corone in metallo-ceramicaA questo paziente mancavano quattro denti, e i denti restanti erano in pessimo stato. Dopo una visita specialistica, durante la quale abbiamo eseguito esami diagnostici dettagliati e presentato il piano terapico, il paziente ha deciso di sostituire i denti mancanti con impianti dentali, nonché correggere la funzionalità e l’estetica degli altri denti ricorrendo a corone in metallo-ceramica.
![Slučaj 1: Prije ugradnje metal keramičkih krunica]()
![Slučaj 1: Nakon ugradnje metal keramičkih krunica]()
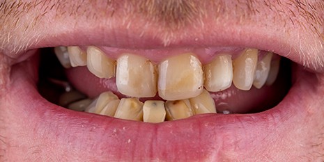
Corone dentali in metallo-ceramica
Tempo di produzione: 4 – 5 giorni
Per saperne di più sulle corone in metallo-ceramicaQuesto paziente aveva un’infiammazione della gengiva e problemi con il bruxismo, per cui i suoi denti erano veramente in pessimo stato. Dopo una visita specialistica comprensiva di esami diagnostici completi, abbiamo presentato al paziente il piano terapico, cominciando con la pulizia profonda e il trattamento parodontale di tutti i denti infiammati. Poi abbiamo corretto il danno estetico e funzionale realizzando corone in metallo-ceramica.
![Slučaj 2: Prije ugradnje metal keramičkih krunica]()
![Slučaj 2: Nakon ugradnje metal keramičkih krunica]()
Corone dentali in zirconio-ceramica
Tempo di produzione: 4 – 5 giorni
Per saperne di più sulle corone in zirconio-ceramicaQuesta paziente desiderava correggere l’estetica e la funzionalità complessiva dei suoi denti. Dopo esami diagnostici dettagliati e dopo aver parlato con il nostro team di esperti, si è decisa per le corone in zirconio-ceramica, grazie alle quali i suoi denti hanno ritrovato un aspetto bello e naturale.
![Slučaj 3: Prije ugradnje cirkon keramičkih krunica]()
![Slučaj 3: Nakon ugradnje cirkon keramičkih krunica]()
Ponte circolare con corone dentali in zirconio-ceramica
Tempo di produzione: 4 – 5 giorni
Per saperne di più sulle corone in zirconio-ceramicaInsoddisfatto dell’aspetto dei suoi denti danneggiati e dell’aspetto generale del suo sorriso, questo paziente ha scelto il ponte circolare come soluzione per entrambe le mascelle. Il ponte circolare è costituito da corone in zirconio-ceramica con le quali abbiamo collegato tutti i denti di una mascella in un’arcata dentale stupenda.
![Slučaj 4: Prije ugradnje cirkularnog mosta i cirkonskih krunica]()
![Slučaj 4: Nakon ugradnje cirkularnog mosta i cirkonskih krunica]()
Corone dentali in zirconio-ceramica
Tempo di produzione: 4 – 5 giorni
Per saperne di più sulle corone in zirconio-ceramicaLa paziente non era soddisfatta dell’aspetto, del colore e della forma dei suoi denti. Dopo un’attenta analisi della sua situazione dentale e dopo aver effettuato esami diagnostici completi, abbiamo risolto i suoi problemi estetici e funzionali costruendo corone in zirconio, che abbiamo realizzato rapidamente nel nostro laboratorio odontotecnico. Grazie ad esse la paziente ha di nuovo denti dall’aspetto naturale e sul suo volto è ricomparso lo splendido sorriso che aveva a lungo celato.
![Slučaj 5: Prije ugradnje cirkon keramičke krunice]()
![Slučaj 5: Nakon ugradnje cirkon keramičke krunice]()
Fissate una visita specialistica gratuita
Prenotate un appuntamento comprensivo di visita specialistica gratuita del cavo orale, consultazione con un odontoiatra, elaborazione di un piano terapeutico e tariffario dei trattamenti necessari in accordo con i vostri desideri e le vostre possibilità.









