Protesi dentali fisse
Soluzione fissa e permanente per denti nuovi e un sorriso meraviglioso!
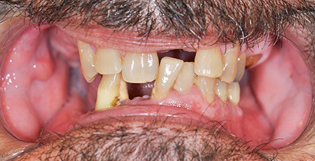
Se vi mancano più denti in una mascella o addirittura in entrambe le mascelle o se soffrite di edentulia totale, le protesi dentali fisse sono la soluzione più efficace per la vostra situazione dentale. Con una protesi fissa e una corretta igiene orale i vostri denti riacquisteranno la loro funzionalità e un aspetto bello e naturale, e il vostro sorriso smagliante durerà tutta la vita!

In cosa consistono le protesi dentali fisse e a cosa servono?
Una protesi dentale fissa è un tipo di dispositivo protesico fissato in modo permanente agli impianti dentali precedentemente inseriti.
Presso il policlinico odontoiatrico Arena Dental offriamo sempre varie soluzioni per i problemi dentali dei pazienti e realizziamo anche diversi tipi di protesi fisse, come le protesi All-on-4 / All-on-6 e il Toronto bridge. Inoltre, offriamo anche altri tipi di soluzioni protesiche fisse, per esempio le corone e le faccette dentali. Tutti i lavori protesici vengono realizzati nel nostro moderno laboratorio odontotecnico, con materiali eccellenti e di altissima qualità.

Per chi sono indicate le protesi dentali fisse?
Di solito consigliamo le protesi fisse ai pazienti che hanno perso più denti in una mascella o entrambe le mascelle, o sono rimasti senza tutti i denti. La scelta della protesi dentale fissa ideale dipende dallo stato di salute attuale dei vostri denti, dalle indicazioni odontoiatriche, nonché dai vostri desideri e dalle vostre possibilità individuali.
Tipologie di protesi fisse presso il policlinico Arena Dental
Protesi fissa su quattro o sei impianti (All-on-4 / All-on-6)
Toronto Bridge
Al policlinico Arena Dental offriamo sempre diverse opzioni per risolvere i problemi dentali. Per ciascun paziente creiamo un piano terapeutico individuale e scegliamo la tipologia ideale di protesi fissa in base alle possibilità e alle esigenze individuali.
Boris Gračan
dr.med.dent

- GARANZIA A VITA SUGLI IMPIANTI DENTALI
- GARANZIA PLURIENNALE PER LAVORI PROTESICI
Qual è la procedura per il posizionamento di una protesi fissa?
Durante la visita specialistica analizzeremo la vostra situazione dentale e, se necessario, vi faremo fare una TAC dettagliata, ossia una radiografia dei denti. Con essa potremo stabilire la densità ossea, un dato fondamentale per definire il tipo e la portata dell’intervento necessario per risolvere appieno il vostro problema dentale.
Durante la visita specialistica analizzeremo la vostra situazione dentale e, se necessario, vi faremo fare una TAC dettagliata, ossia una radiografia dei denti. Con essa potremo stabilire la densità ossea, un dato fondamentale per definire il tipo e la portata dell’intervento necessario per risolvere appieno il vostro problema dentale.

Vantaggi delle protesi fisse del policlinico Arena Dental
- Realizzazione di tutte le protesi fisse nello stesso posto
- Protesi realizzate nel nostro moderno laboratorio odontotecnico con materiali eccellenti e di altissima qualità
- Protesi plasmate in base alle vostre esigenze di salute
- Realizzazione rapida di protesi a prezzi accessibili
Risultati del posizionamento di protesi fisse
La protesi dentale fissa che abbiamo realizzato appositamente per voi e fissato permanentemente nella mascella sarà solida, stabile e molto comoda da indossare e imiterà completamente l’aspetto e la funzione dei vostri denti naturali.


Fissate una visita specialistica gratuita
Prenotate un appuntamento comprensivo di visita specialistica gratuita del cavo orale, consultazione con un odontoiatra, elaborazione di un piano terapeutico e tariffario dei trattamenti necessari in accordo con i vostri desideri e le vostre possibilità.
Domande frequenti sulle protesi fisse
Quanto costa una protesi fissa?
Ogni quanto devo fare un controllo dopo un lavoro protesico?
Che cosa sono le protesi overdenture con barra?
Che cosa sono le faccette dentali?
Come faccio a sapere se ho bisogno di una protesi fissa, di corone o faccette dentali?
Come scegliere il colore giusto per la protesi?
VALUTAZIONE MEDIA SU GOOGLE
4.8